自由百科知识网,分享百科知识,包括:学习、人际关系、宠物、旅行、工作、知识、生活、电子产品等知识,是您学习百科知识的好助手。
自由百科知识网
首页
学习
人际关系
宠物
旅行
工作
知识
生活
电子产品
学习
当前栏目:
学习
会给大家分享大量关于学习的最新百科知识,帮助各位轻松学习百科知识!
当前位置:
自由百科知识网首页
>
学习
股似海学习网(股海网官方网)
股似海学习网(股海网官方网),对于想了解百科知识的朋友们来说股似海学习网(股海网官方网)是一个非常想了解的问题,下面小编就带领大家看看这个问题。股似海学习网,简称股海网,是专门为投资者提供的在线学习平台。这里汇聚了众多专业的投资专家和实战派选手,...
学习
2025-01-02
0
自由百科知识网
肠粉小吃学习、“肠粉”
肠粉小吃学习、“肠粉”,对于想了解百科知识的朋友们来说肠粉小吃学习、“肠粉”是一个非常想了解的问题,下面小编就带领大家看看这个问题。一、肠粉简介 肠粉,一个既家常又备受喜爱的小吃,作为中国传统早餐的一部分,不仅营养丰富,更带有浓郁的岭南...
学习
2025-01-02
0
自由百科知识网
肝血吸虫病有什么症状;肝血吸虫病吃什么药
肝血吸虫病有什么症状;肝血吸虫病吃什么药,对于想了解百科知识的朋友们来说肝血吸虫病有什么症状;肝血吸虫病吃什么药是一个非常想了解的问题,下面小编就带领大家看看这个问题。肝血吸虫病是一种由血吸虫在人体肝脏中寄生引起的寄生虫疾病。以下,将首先详细介绍这种病症的常见症状以及有...
学习
2025-01-02
0
自由百科知识网
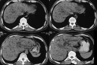
肝血吸虫病ct表现 肝血吸虫病ct影像学表现
肝血吸虫病ct表现 肝血吸虫病ct影像学表现,对于想了解百科知识的朋友们来说肝血吸虫病ct表现 肝血吸虫病ct影像学表现是一个非常想了解的问题,下面小编就带领大家看看这个问题。一、引言 肝血吸虫病是一种由血吸虫寄生在肝脏中引发的疾病。随着医学影像学的发展,CT已成为诊断肝血吸虫病的...
学习
2025-01-02
0
自由百科知识网
聪明在于学习天才在于积累仿写 聪明在于 ,天才在于积累仿写
聪明在于学习天才在于积累仿写 聪明在于 ,天才在于积累仿写,对于想了解百科知识的朋友们来说聪明在于学习天才在于积累仿写 聪明在于 ,天才在于积累仿写是一个非常想了解的问题,下面小编就带领大家看看这个问题。本文旨在探讨聪明与学习的关系,以及天才如何通过积累得以显现。文章将围绕“聪明在于探索,天才源于积累”这...
学习
2025-01-02
0
自由百科知识网
联邦学习框架标准交流,联邦架构
联邦学习框架标准交流,联邦架构,对于想了解百科知识的朋友们来说联邦学习框架标准交流,联邦架构是一个非常想了解的问题,下面小编就带领大家看看这个问题。随着数据隐私和安全性的日益重要,联邦学习框架标准交流成为了科技领域的热门话题。本文将带领读者走进联邦学...
学习
2025-01-02
0
自由百科知识网
联系教师学习交流 交流教师在交流学校的发言稿
联系教师学习交流 交流教师在交流学校的发言稿,对于想了解百科知识的朋友们来说联系教师学习交流 交流教师在交流学校的发言稿是一个非常想了解的问题,下面小编就带领大家看看这个问题。大家好!今天我们齐聚一堂,为的是共同交流学习,互相汲取经验,以更好地推动学校的教学工作。我非常感谢大家...
学习
2025-01-02
0
自由百科知识网
联系学校退档需要多久、学校退档理由怎么看
联系学校退档需要多久、学校退档理由怎么看,对于想了解百科知识的朋友们来说联系学校退档需要多久、学校退档理由怎么看是一个非常想了解的问题,下面小编就带领大家看看这个问题。联系学校退档,这是一个令人关注的话题,特别是对于那些正在申请大学的学生和他们的家长来说,这是一个重要的...
学习
2025-01-02
4
自由百科知识网
联系学校指导工作记录 - 联系学校指导工作记录内容
联系学校指导工作记录 - 联系学校指导工作记录内容,对于想了解百科知识的朋友们来说联系学校指导工作记录 - 联系学校指导工作记录内容是一个非常想了解的问题,下面小编就带领大家看看这个问题。一、引言 在当今信息化时代,学校与家庭、社会之间的联系日益紧密。为了更好地促进学生成长,家长和教师之间的...
学习
2025-01-02
0
自由百科知识网
联合普肯安全学习题 - 北京联合普肯怎么样
联合普肯安全学习题 - 北京联合普肯怎么样,对于想了解百科知识的朋友们来说联合普肯安全学习题 - 北京联合普肯怎么样是一个非常想了解的问题,下面小编就带领大家看看这个问题。一、学校概况 北京联合普肯安全学习题是一家专注于安全学习题培训和研究的机构。该机构拥有一支高素质、专业化...
学习
2025-01-02
0
自由百科知识网
职高护理专业学什么、女孩读什么技校最好找工作
职高护理专业学什么、女孩读什么技校最好找工作,对于想了解百科知识的朋友们来说职高护理专业学什么、女孩读什么技校最好找工作是一个非常想了解的问题,下面小编就带领大家看看这个问题。一、职高护理专业的学习内容 在职高护理专业,你将学习到丰富的医学知识,包括基础医学、临床医学、预防医学等...
学习
2025-01-02
0
自由百科知识网
职高学校排名榜;职高学校排名榜山西
职高学校排名榜;职高学校排名榜山西,对于想了解百科知识的朋友们来说职高学校排名榜;职高学校排名榜山西是一个非常想了解的问题,下面小编就带领大家看看这个问题。一、全国职高学校排名榜概述 在中国的教育体系中,职业高中学校承担着培养应用型技能人才的重要任务。近年来,...
学习
2025-01-02
1
自由百科知识网
职高学校排名 - 高职专科学校排名
职高学校排名 - 高职专科学校排名,对于想了解百科知识的朋友们来说职高学校排名 - 高职专科学校排名是一个非常想了解的问题,下面小编就带领大家看看这个问题。在当下社会,职业教育的重要性日益凸显,职高学校和高职专科学校也备受关注。本文旨在为大家深度解析职高学校...
学习
2025-01-02
0
自由百科知识网
首页
上一页
2550
2551
2552
2553
2554
2555
2556
2557
2558
2559
2560
下一页
末页
猜你喜欢
热门标签
高考填报志愿
互联网电商
一次性口罩
猫
狗
饮食
仓鼠
吊顶设计
红汤
软件
法律
美食
家居
春节
美容
建筑
减肥
口红
高考成绩
婚礼
阅读排行
中学校长 中学校长大还是书记大
2139
2024-08-30
辽宁省干部在线学习网app - 辽宁省干部在线学网官
1053
2025-01-16
党校学习三个月意味着升职吗(党校 三个月)
882
2025-02-22
小白学习打印会员领取码,小白打印终身会员怎么买
586
2024-11-21
辽宁干部在线学习怎么快速完成(辽宁干部在线怎么快速刷课)
553
2025-01-15
博士学习期间算工龄吗 博士期间算工作年限吗
527
2025-03-10
云端学习网页版(云端学平台电脑版登录)
451
2025-02-10
主持人王芳女儿田婉萌的学习 王芳丈夫田捷
449
2024-08-31
学习机不用了能当平板电脑用吗
428
2024-10-17
刘学义(刘学义现任妻子)
416
2025-02-28
推荐排行
网站首页
学习
人际关系
宠物
旅行
工作
知识
生活
电子产品
Copyright © 2002-2027 自由百科知识网 版权所有 网站备案号:
苏ICP备18016903号-5
大家都在搜
养生
中医
养生小知识
女性
as
盐水
灵芝
头晕
蕨菜
金子
食疗
减肥食谱
蕨菜图片
中年人养生
统计
针灸
罗非鱼
罗非鱼图片
西瓜视频
723172698041